SPORTS
夏天将至,天气逐渐回暖,好多年轻人开始增加运动量,例如进行打篮球、踢足球、羽毛球等运动。但是运动缺乏热身,球场上激烈的碰撞,失去平衡扭伤,可能会导致运动损伤。你是否因为距腓前韧带损伤而被迫离开心爱的运动场?别担心,微创距腓前韧带修补手术可以帮你重返运动场!
小江(化名)是一名热爱篮球运动的阳光开朗大男孩,一次运动不慎扭伤后脚踝听到“啪”一声响,他担心踝关节韧带撕裂。随后,小江前往外院检查,MRI提示距腓前韧带断裂。这让他十分焦虑,于是来到广东药科大学附属第一医院,运动医学关节团队经过详细检查,个性化制定了多套治疗方法及预案。在罗学辉主任医师带领下,运动医学关节科团队为小江进行了全镜下微创修复距腓前韧带。
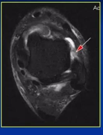
磁共振提示距腓前韧带断裂
关节镜观察断裂的距腓前韧带
术中锚钉置入情况
术中修补韧带后情况
手术只需2个0.5cm的小口
术后第一天运动医学关节团队给予小江石膏固定,令他可以下地扶拐行走。术后2周即可拆除石膏,佩戴支具正常行走了。
*科普时间*
什么是距腓前韧带?
距腓前韧带(Anterior Talofibular Ligament, ATFL)是踝关节外侧最重要的韧带之一,也是运动损伤中最常撕裂的韧带(尤其在踝关节扭伤时)。
什么情况下容易“崴脚”?
在足踝跖屈+内翻动作(如踩空、跳跃落地不稳)时,ATFL承受最大张力,极易撕裂。
据统计,70%的踝关节扭伤涉及ATFL损伤!
损伤表现
急性期:踝外侧肿胀、瘀斑、压痛。
慢性期:反复崴脚、关节不稳、运动时疼痛。
手术的优势
恢复运动能力:大多数患者在术后能够重返运动场,继续追逐梦想!
减少疼痛:手术有效缓解踝关节疼痛,提升生活质量。
预防二次损伤:修补后的韧带更稳固,降低再次受伤的风险。
术后康复
个性化康复计划:根据患者情况定制康复方案,确保最佳恢复效果。
专业团队支持:物理治疗师和运动医学专家全程陪伴,助你快速恢复。
温馨提醒:
ATFL虽小,却是踝关节的“安全带”,一旦损伤需早诊早治,避免后遗症。
距腓前韧带修补不仅是修复损伤,更是重拾信心、消除心理压力、重返运动巅峰的重要一步。无论你是职业运动员还是运动爱好者,都不要让ATFL损伤成为你追梦的障碍!
专家介绍
罗学辉
主任医师
中西医协同骨科中心运动医学科
擅长:在骨科领域工作近20年,目前深耕运动医学领域。运动医学损伤诊断与修复,髋膝关节置换等外科技术,膝关节阶梯治疗技术。善于运用关节镜技术治疗膝、肩、踝、肘等相关疾病。擅长微创治疗前、后交叉韧带,多发韧带损伤,半月板损伤,肩袖损伤,肩关节脱位盂唇损伤(bankart)等。掌握HTO、UKA、TKA等外科治疗技术。作为主持人参与多项省市级课题,包括广东省科技厅项目,广东省中医药管理局项目,佛山科技局立项项目,佛山卫健委立项项目;获得发明专利及实用新型专利多项。
社会任职:
广东省健康科普促进会中医骨伤分会第一届委员会常务委员;
广东省中医药学会运动医学专业委员会第二届委员;
广东省医疗行业协会骨关节外科管理分会第一届委员;
世界中医学会联合骨关节疾病专业委员会第二届理事会关节运动医学学组第一届委员;
广东省中西医结合学会骨伤科专业委员会第五届委员。
出诊:健康管理中心,周一上午,周三、周五全天。
庾广文
医学博士,副主任医师,访韩学者
擅长:肩、膝、踝、腕、肘、髋关节病的诊断与治疗,掌握超声引导下精准关节注射治疗,肩、膝、踝关节镜的操作技术,如半月板修整缝合术,前、后交叉重建术,手法及镜下松解术、肩峰成型术,以及肩袖修补和肩关节脱位盂唇修补术,距腓前韧带修补术。擅长治疗腱鞘炎、腕管综合征、网球肘、肩周炎、肩袖损伤、肩峰撞击综合征、钙化性肌腱炎、弹响髋、膝关节炎、膝关节半月板损伤、十字韧带损伤、痛风性关节炎、腘窝囊肿、踝关节扭伤及撞击综合征。曾在韩国首尔、光州进修关节镜技术。
社会任职:
中国中药协会骨伤科药物研究专业委员会青年委员;
中国民族医药学会筋骨养护分会理事;
广东省医学会运动医学分会第六、第七届委员会基础学组成员;
广东省中医药学会骨伤科专业委员会委员;
广东省精准医学应用学会肉瘤分会委员;
广东省中医药学会第二届运动医学分会青年委员;
广东省机械工程学会会员。
出诊:健康管理中心,周一下午,周二上午,周四下午。
洪羽彤
住院医师,医学博士
擅长:关节疾病诊疗:膝/髋/肩关节骨关节炎、类风湿性关节炎、运动损伤、软骨损伤等;微创手术:关节镜下韧带重建、半月板修复、肩袖缝合等运动医学手术;关节置换术:个性化人工关节置换及翻修术。中国医科大学临床医学七年制(本硕连读,硕士阶段师从国内著名关节外科专家白希壮教授),德国埃尔朗根-纽伦堡大学(FAU)临床医学博士(师从国际著名关节外科专家Prof. Raimund Forst)。
出诊:健康管理中心,周二下午。
来源:运动医学关节团队
初审:王媛
审核:陈燕
审发:庄文斌
就医服务小程序↓↓↓
医院地址↓↓↓