明星的牙齿为什么那么白,是天生的吗?
为什么天天刷牙牙齿还是黄?
美白牙齿靠谱吗?怎样才是安全的做法?
一口亮白整齐的牙齿,是许多人心中的颜值加分项。看到明星们在镜头前露出耀眼笑容,不少朋友开始疑惑:为什么我的牙齿比明星黄?天天美白牙齿靠谱吗?普通人该如何科学护牙?今天,广东药科大学附属第一医院口腔医学中心负责人、口腔修复学专家刘琦医生,为大家从专业角度答疑解惑。
天天刷牙+定期洗牙,牙齿就能变白?真相竟是…
很多人追求极致白牙,甚至盲目跟风明星同款“冷白皮配冷白牙”。但从医学角度看,镜头下的美学和自然光下的美学并不是一回事。牙齿首要是健康!咱们亚洲人的牙色通常略偏黄,与自己肤色适宜的牙色自然协调,反而更为美观!
有朋友会问,如果我还是觉得自己的牙齿太黄了,刷牙可以把牙齿刷白吗?洗牙能够把牙齿洗白吗?
我们首先需要弄清楚,牙齿的颜色不美观,是天生的(内源性),还是后天造成的(外源性)?刷牙和洗牙主要清洁的,是后天外在附着在牙齿表面的脏东西。
洗牙≠美白!为什么牙医仍建议每年洗一次?
洗牙,是口腔护理的基础!许多人不知道,洗牙洗的不仅是“脏东西”,更是牙结石、软垢、菌斑这些导致牙齿发黄、牙龈发炎的“元凶”!通过专业洗牙(龈上洁治),确实能有效去除大部分外源性着色和致病因素,恢复“红(牙龈)白(牙齿)美学”,让口腔呈现自己真实的美貌和健康。
定期洗牙可以预防牙周炎的发生,或者让已经形成的牙周炎症得到有效控制。
您有多久没洗牙了?找个时间约一下专业的牙周医生看看吧。
牙齿美白是刚需还是跟风?
牙齿美白并非人人需要,自然协调的牙色才是健康美学标准。
对于洁治后顽固的外源性着色(如长期饮食中色素沉着造成牙齿颜色逐步改变)、内源性黄牙(如发育性疾病氟斑牙/四环素牙等),或个人希望追求更亮白笑容者,才需专业美白。
盲目追求“好莱坞白”而不采取专业的医疗措施,尤其是听信一些无良商家虚假广告宣传,则有可能损伤牙齿!
先让专业的牙医评估您的牙齿情况,再决定是否美白——适合的,才是最好的!
牙齿美白,科学方法有这些——
根据牙齿颜色问题的原因和严重程度,专业的口腔医生会提供不同解决方案:
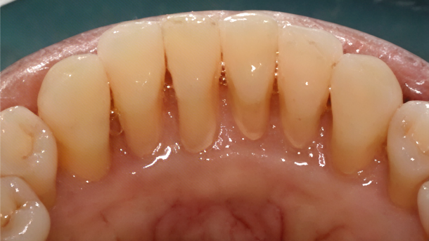
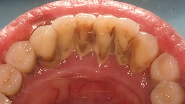
1. 轻度外源性染色(咖啡渍、烟渍、牙结石等):洗牙+日常护理即可改善。建议每半年到牙周粘膜科进行一次专业洁牙,已有牙周炎的患者就诊频次听从牙周医生专业指导。
洗牙前VS洗牙后
(徐静医生病例)
2. 轻度内源性着色(色素沉着、天生黄牙、轻度氟斑牙/四环素牙等):可采用诊间美白(冷光、药物等)、家用美白套装等方式。需由专业医生操作,或在医生指导下使用。但请注意,这类美白方式对颜色改善的程度有限,且随着时间的推移,可能再次出现牙齿逐步着色变黄的情况。
重度氟斑牙美白前后照片
(刘琦医生病例)
3. 轻中度内源性着色、伴有或不伴有牙齿轻度排列或形态的问题:可选择瓷贴面修复。陶瓷贴面薄薄地覆盖在牙齿表面,不仅能快速美白,还能改善牙齿形态,效果持久自然。但是,依据问题的严重程度,必要时需磨除一定量的牙齿,过深的颜色可能无法完全被贴面盖住。同时,这也是一种专业要求极高的技术,需要专业的口腔医生与技师的完美配合,才能给您呈现最佳的艺术效果。
不同类型贴面修复前后照片
(刘琦医生病例)
4. 严重着色或伴有牙齿复杂的形态和排列问题(如重度四环素牙、牙缝大、牙齿不齐等):美白和瓷贴面则无法改善,需要通过牙齿矫正(正畸)、全瓷冠甚至桩核冠修复等,才可能还您健康美丽的笑容!
修复医生提醒:专业治疗是关键!
无论是洗牙、美白、还是瓷贴面修复,必须由专业医生评估操作!自行购买美白产品、网购瓷贴片DIY,可能因操作不当导致牙齿敏感、牙龈损伤,甚至引发不可逆的牙周、牙体问题,后续将需要更复杂的治疗和产生更重的经济负担。
就如下图,重新治疗前,您能相信这是20岁女大学生的牙齿吗?
非正规治疗后重新修复病例
(刘琦医生病例)
想知道自己适合哪种美白方式,请务必到正规医疗机构就诊。医生会根据你的牙齿状况、需求和预算,为您制定最合适的个性化方案。
一口健康亮白的牙齿,不仅是颜值担当,更是口腔健康的标志。别让美白焦虑蒙蔽双眼,科学护牙,从选择专业治疗开始。如果您还有疑问,欢迎留言或到我院口腔医学中心口腔修复科咨询。
专家介绍
刘琦
博士、留美学者
主任医师、副教授、研究生导师
从事口腔修复学专业20年。目前主要从事口腔软硬组织的美学及功能修复、口腔生物材料的基础与临床研究。擅长复杂牙体、牙列缺损或缺失的各项功能修复(固定、活动、种植义齿等)及全口咬合重建;微创美学修复(贴面、嵌体等)及数字化技术的应用;精密附着体、套筒冠义齿的临床应用;牙周病、颞下颌关节病的修复治疗;颌面部软硬组织缺损的贋复及再生治疗等。
初诊时间:每周二上午(农林院区-口腔修复科,复诊预约020-61326727)
每周三上午(门诊部(健康管理中心)-口腔预防科,复诊预约020-87698476)
口腔修复科介绍
1、科室概况
口腔修复科目前设立于农林院区,拥有一支技术精湛的专业队伍,科室现有6名固定出诊医生,包括2名主任医师、1名副主任医师、2名主治医师及1名住院医师,另有1名退休返聘副主任医师。团队成员均毕业于国内知名口腔院校,博士研究生2名,在功能修复、美学修复领域和种植修复领域数字化技术的运用方面均具有丰富临床经验。学科带头人担任中华口腔医学会口腔修复学专委会委员、广东省口腔医学会口腔修复学专委会常委、广东省精准医学应用学会口腔修复种植分会青年委员会主委等学术职务。
2、科室设备
科室配备国际先进的口腔修复设备,如数字化口扫和美学分析软件,可实现舒适化取模和快速、个性化的美学设计;CAD/CAM椅旁即刻修复系统,可进行椅旁即刻数字化修复,精准、直观、快捷;高频电刀和半导体激光,可支持微创的软组织处理和精准的红白美学实现;迪凯尔种植导航系统,实时导航指引,实现精准、微创、舒适化种植,尤其适合骨条件不良的人群。
3、诊疗范围
科室诊疗范围涵盖各类牙体缺损、牙列缺损、牙列缺失的美学和功能修复。包括针对牙体缺损及美观性欠佳牙齿的贴面、嵌体、美白等数字化、微创化的美学修复;针对牙列缺损/缺失及严重磨耗牙列的各项功能修复和全口咬合重建(固定、活动、种植义齿,吸附性义齿,精密附着体,套筒冠义齿等);以及牙周病、颞下颌关节病的修复治疗,颌面部软硬组织缺损的贋复及再生治疗等。
4、科研与教学
科室高度重视科研创新与人才培养,在口腔修复领域开展多项基础与临床研究,承担多项国家级、省部级科研项目,发表SCI论文10余篇,获授权专利4项。长期承担广东药科大学口腔系本科生的教学与管理,以及四生(实习生、规培生、研究生、进修生)的临床带教工作,注重理论知识与临床实践的结合和转化,着力培养高素质口腔医学专业人才,肩挑教书育人和救死扶伤的双重使命。同时,积极进行教学改革,优化教学管理,承担多项教改课题并且已将成果撰文发表。
地址:广东药科大学附属第一医院 农林院区 门诊B区 一楼
咨询电话:020-61326727
友情提醒:口腔修复治疗前可能涉及多学科前期处理,初诊主要确定修复方案、及处理急症,就诊时请与您的修复医生建立联系,便于预约复诊,为您提供最好的治疗保障哦!
出诊时间
口腔修复科医生介绍
康成容,主任医师
擅长各类牙体缺损/牙列缺损的活动、固定、种植义齿修复,擅长贴面、嵌体等微创美学修复,擅长颞颌关节疾病系统检查与治疗。善于综合考虑个体的口腔情况和全身状况,制定系统化、个性化、序列化的全口牙病微创诊疗方案。
陈慧芝,副主任医师
从事口腔科专业临床、科研和教学工作三十多年。擅长各类活动义齿、固定义齿的修复治疗。
王璐,主治医师
擅长制定系统化、个性化、序列化的全口修复诊疗方案,擅长牙体缺损、牙列缺损、缺失的修复治疗(充填修复、固定修复及活动义齿等),单颗牙、多颗牙缺失的种植修复。尤其擅长口腔美学修复(树脂充填、贴面、嵌体等),精密附着体义齿修复,以及数字化技术支持的修复治疗。
王珂,主治医师
熟练掌握现代牙科治疗技术,注重功能与美学结合,擅长全瓷贴面/嵌体/全冠修复、种植牙修复(单牙/多牙缺失)、牙体缺损-牙列缺损综合治疗设计、牙周炎患者的修复治疗等,精于以修复为导向的个性化治疗。
周静,医师
擅长全口口腔疾病整体修复方案的设计,牙体缺损的固定修复,牙列缺损的活动修复,及牙齿美白治疗等。
冯铁军,主任医师
现任广东药科大学附属第二医院副院长,长期在临床一线工作,积累了丰富的临床经验。擅长活动义齿、固定义齿修复及美容修复。
黎慧瑜,副主任医师
擅长牙列缺损和缺失的修复,如:种植牙、烤瓷牙、活动牙、精密附着体等;擅长牙体牙髓病、根尖周病、牙周病的诊断和治疗。
文稿来源:口腔医学中心 刘琦 徐静
视频来源:口腔医学中心 刘琦 郭炜奇
初审:刘琦
审核:陈燕
审发:庄文斌