近日,2025亚洲心血管与胸外科年会(ASCVTS 2025)在新加坡隆重召开,全球顶尖专家学者齐聚一堂,共议学科前沿进展。广东药科大学附属第一医院心胸外科肖海平主任、朱启航医生团队的研究成果《Video-assisted Thoracoscopic Surgery for Adult Benign Idiopathic Bronchoesophageal Fistula: A Report of Two Cases》(电视辅助胸腔镜手术治疗成人良性特发性支气管食管瘘:两例病例报告)在大会中作为专题展报精彩亮相。这标志着我院在复杂胸外科疾病诊疗领域迈入国际先进行列。
该研究创新性地应用胸腔镜微创技术,成功治愈两例罕见、复杂的成人特发性支气管食管瘘患者,相关成果已发表于国际知名胸外科期刊《Interdisciplinary Cardiovascular and Thoracic Surgery》(ICVTS)。此次研究被遴选为大会展报,不仅彰显了团队在食管气管瘘微创治疗领域的突破性贡献,更获得国际同行的广泛关注与高度评价,充分体现了我院胸外科的学术影响力和临床技术水平。
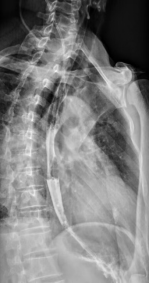
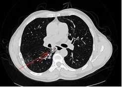
该研究中的患者彭先生因“发现食管气管瘘20余天”到我院治疗。彭先生两年出现反复咳嗽、咳黄脓痰,当地医院就诊后诊断为“肺脓肿”,予抗感染对症治疗后,黄脓痰转向白痰,20余天前彭先生出现咳血,遂至外院查胸部CT,结果提示:食管-右肺下叶背段纵隔旁支气管瘘。
彭先生到我院心胸外科完善相关检查,明确诊断,排除手术禁忌后行单孔胸腔镜下食管气管瘘修补术,手术时间3小时。术后1周复查造影,未见造影剂外漏。术后9天彭先生就开始进口进食了。术后11天康复出院。
术后复查未见造影剂外渗
支气管食管瘘病因复杂、手术难度极高,传统开放手术创伤大、风险高。肖海平主任团队凭借丰富的微创外科经验,成功攻克技术难点,为患者提供更精准、更安全的治疗选择。此项成果的国际化展示,是我院坚持“临床与科研并重”发展理念的生动实践,也为全球胸外科学术发展贡献了中国智慧。
近年来,我院心胸外科深耕微创技术创新与疑难重症诊疗,多项技术成果填补区域空白。此次国际舞台的亮相,是学科建设迈向高质量发展的重要里程碑。未来,科室将继续以患者需求为导向,勇攀学术高峰,助力医院“研究型医疗中心”目标建设。
专家介绍
肖海平
心胸外科主任,副主任医师
国家卫生健康系统先进个人
擅长微创胸外科手术及胸外科常见疾病的诊治,在微创肺癌、食管癌领域拥有独特的单孔技术。擅长纵隔大肿瘤及重症肌无力的治疗,发明了改道引流技术并广泛应用于食管瘘、慢性脓胸、胸壁窦道等胸壁难愈性伤口的治疗。开创了胸腔镜下肋骨肿瘤切除术、微创自体骨胸壁重建术、5毫米单孔手汗症手术、单孔贲门失迟缓手术等。
社会任职:
朱启航
心胸外科主治医师
擅长肺癌、食管癌的综合治疗,重度胸外伤的全程管理。发表SCI及中文论文10篇。
社会任职:
来源:心胸外科
初审:宣传科
审核:陈燕
审发:庄文斌