世界脑肿瘤日
6月8日是“世界脑肿瘤日”,旨在提高公众对脑肿瘤的认识、关注和防范意识。脑肿瘤因其生长位置特殊,不仅威胁生命,还给患者带来身心双重打击。了解它、预防它、战胜它,是我们共同的责任。
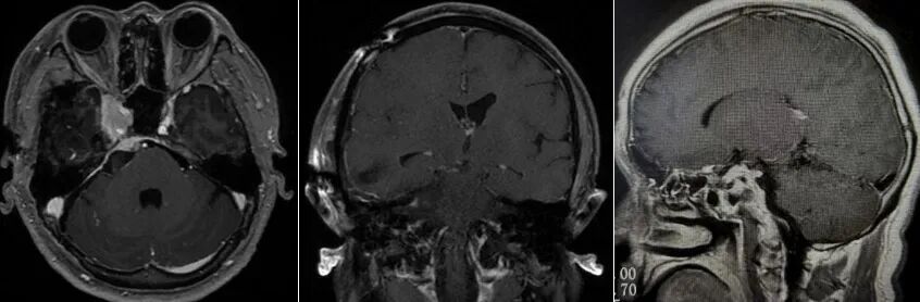
近日,广东药科大学附属第一医院神经外科成功为一名复杂脑肿瘤患者实施了脑肿瘤切除术。前段时间,原本身体健康的肖先生,莫名其妙出现右侧颜面部疼痛,洗漱、进食、受凉后疼痛加重。难以忍受的肖先生到医院检查才发现,原来是颅内生长了一个鸡蛋大的肿瘤,大小约48mm×60mm×23mm,而且肿瘤位于脑子深部,手术难度高、风险大,术后并发症也极其复杂。
患者术前MRI
在完善了术前检查及评估后,神经外科学科带头人王向宇教授会同许典双主任医师,组织了全科讨论,最终确定经右侧扩大翼点入路,在神经电生理监测辅助下行显微镜右侧中后颅窝底占位性病变切除术。
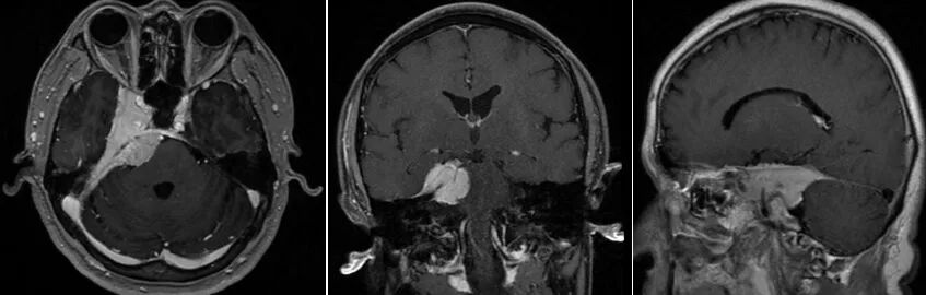
由于肿瘤侵入海绵窦,为了避免术后造成患者眼睑下垂、眼球运动受限、视力障碍等严重的颅神经损伤后遗症,术中残留了少许肿瘤,日后辅以放射治疗予以消除。术后,患者未出现神经功能障碍,颜面部疼痛症状也消失了。病理报告“脑膜瘤,WHO 1级,皮细胞型”。经过短期治疗后,患者顺利出院。
患者术后MRI
许典双主任医师介绍,脑膜瘤是脑肿瘤里的一类良性肿瘤,它起源于脑膜和脊髓的蛛网膜粒细胞,生长缓慢,随着肿瘤体积增大,会压迫或侵蚀周围脑组织,导致颅内压增高,引起头痛、恶心、呕吐、语言障碍、肢体乏力等症状。
本例患者是一例岩斜区海绵窦脑膜瘤患者,该区域位于岩骨与斜坡的交界地带,毗邻后颅窝与中颅窝的过渡区,堪称颅内最复杂区域之一。这类肿瘤经常向内侵犯颈内动脉虹吸段、动眼神经(Ⅲ)、滑车神经(Ⅳ)、三叉神经(Ⅴ)分支及外展神经(Ⅵ),向后方生长影响面神经(Ⅶ)、前庭蜗神经(Ⅷ),甚至压迫“生命中枢”脑干腹侧。
而这类肿瘤的手术堪称神经外科“巅峰挑战”,由于解剖间隙狭窄、神经血管交错密集,术中需借助神经电生理监测,在显微镜下精准分离肿瘤与血管、颅神经、脑干的粘连。为了在切除肿瘤的同时避免患者术后神经功能损伤,手术还需磨除岩骨,往往需分阶段、分区域实施,对术者显微操作技术与解剖认知要求极高,手术风险亦显著高于普通颅内肿瘤。
什么是脑肿瘤?
脑肿瘤是指在颅腔内生长的异常细胞团块,可以原发于脑组织,也可继发于身体其他部位的肿瘤转移而来。简单分为良性(如垂体瘤、脑膜瘤、神经鞘瘤等)和恶性(如胶质瘤、转移瘤、淋巴瘤等)。良性肿瘤生长缓慢,发病隐匿,症状不明显,也不会转移,当对周围脑组织产生压迫时,肿瘤往往已生长巨大。恶性肿瘤则具有侵袭性,快速生长的特点,往往起病急,症状重,而且也会向身体其他部位转移扩散。不管是良性脑肿瘤还是恶性脑肿瘤,随着肿瘤体积增大,都会压迫或侵蚀周围脑组织,导致颅内压增高,引起神经功能障碍,甚至危及生命。
脑肿瘤有哪些“预警信号”?
脑肿瘤表现多种多样,以至于被许多人忽视,从而耽误了最佳治疗时机。其实脑肿瘤也是“有迹可循”的,首先,常见的频繁头痛,多为持续性,可伴有恶心、呕吐,尤其在清晨刚睡醒时症状明显;其次,出现头晕、耳鸣,听力、视力、语言、运动障碍,或是癫痫发作、情绪异常、激素紊乱等神经功能障碍,这都是肿瘤影响到了大脑管控区域发出的“警告信号”,一旦出现应及时就医。
专家介绍
王向宇
神经外科学术带头人
三级教授、主任医师、医学博士
硕士生导师、博士生导师、博士后合作导师
日本香川医科大学访问学者,暨南大学附属第一医院脑科医院原副院长、神经外科原主任,中国神经外科专科医师规范化培训基地主任,国家卫健委能力建设和继续教育中心神经外科进修与培训基地主任,国家住院医师规范化培训(神经外科方向)基地主任。
专业擅长:
显微神外手术:包括颅底、脑干、脑室、脊髓内外、椎管内外脑膜瘤、胶质瘤等肿瘤手术,以及内镜辅助下显微神经外科手术。包含经鼻鞍区肿瘤、锁孔手术、血管及神经吻合手术。
脑血管杂交手术:血管介入及开颅综合治疗中枢神经系统血管病,如动脉瘤、脑动静脉畸形、烟雾病、颈动脉狭窄、硬膜动静脉瘘、脑血管搭桥术。
功能神外手术:痉挛性斜颈、三叉神经痛、面肌痉挛、舌咽神经痛、顽固性癫痫、肘管综合征、腕管综合征、立体定向手术、迷走神经电刺激术,脊髓电刺激术、健侧颈7神经移位术。
昏迷促醒治疗:对长期昏迷患者的促醒评估和治疗有丰富的临床经验。
学术任职:
广东省委保健资深专家;中国研究性医院协会脑血管病专委会及微侵袭神经外科分会常委,中国卒中学会介入复合分会常委,中国解剖学会神经外科分会常委,广东省医院协会神经外科分会主任委员及粤港澳大湾区神经外科联盟理事长,广东省卒中学会血管神经外科分会主任委员;《中国医学管理科学》《中华神经医学杂志》《中华神经创伤杂志》《中国微侵袭神经外科杂志》编委;广东省、广州市医疗事故鉴定专家;国际(SOS)救援中心专科医师库成员。
出诊时间:每周四上午8:00-12:00
出诊地点:农林下路40号,门诊部(健康管理中心)2楼A区2002名医诊室
许典双
院党委副书记、院长
神经外科主任医师
教授,硕士生导师
本科毕业于湖南医科大学临床医学系;硕士毕业于暨南大学,师从神经外科陈善成教授;博士毕业于南方医科大学,师从神经外科柯以铨教授。2014年至2015年在日本香川大学医学部脑神经外科做国际研究员,师从田宫 隆教授。
专业擅长:
脑胶质瘤的显微外科治疗、颅底肿瘤的内镜治疗、烟雾病的外科治疗。能熟练处理各种重型颅脑损伤、椎管内病变、神经外科常见肿瘤、脑血管病及各种原因引起的脑积水。
学术任职:
广东省医院协会第四、五届医院医务管理专业委员会副主任委员,广东省医院协会医院品管圈管理专业委员会第一、二届委员会副主任委员,广东省基层医药学会医院医务管理专业委员会副主任委员,广东省医学会伦理学分会第三届委员会常务委员,广东药学会第一届医药卫生政策管理专家委员会常务委员,广东省医学教育协会神经外科专业委员会第二届委员会常务委员。
出诊时间:每周一上午8:00-12:00
出诊地点:农林下路40号,门诊部(健康管理中心)
来源:神经外科
初审:宣传科
审核:陈燕
审发:庄文斌